病気の形
高血圧
1.血液の循環と血圧
身体に流れている血液は、私たちが活動するためになくてはならない酸素や栄養を身体の隅々まで届ける役割を担っています。血液の流れの中心は心臓です。心臓がポンプのように収縮と弛緩を繰り返して血液を送り、全身に届けています。全身の循環系を示したイラストが図1です。
図1 ヒトの循環系と血圧
ヒトの循環系は全身を循環する大(体)循環系、肺を循環する小(肺)循環系および消化管で吸収した栄養を肝臓に運ぶ門脈系があります。血液は左心室の収縮で全身を巡って、静脈を介して右心房−右心室に還り、肺循環系でガス交換された血液は左心房−左心室を介してまた全身へ送られます。このような循環のためには心臓収縮で生み出されるポンプ力(拍出力)が必要です。血圧とは心臓の収縮によって血液が送りだされる際に生み出される血管壁を押す力のことです。血圧は心拍量(心臓から送り出される血液量)と血管抵抗(末梢血管抵抗という)によって決まります(図2)。具体的には、図2に示すように血圧=心拍出量x末梢血管抵抗です。心拍出量は循環血液量、心拍数、心収縮力により決定されます。一方、末梢血管抵抗を決める要因は動脈壁の弾性(血管径、血管の太さ、動脈壁の硬さなど)、血液の粘性および末梢血管領域の面積です。
図2 血圧を決める要因
循環血液量の増加または末梢血管抵抗が増加すると血圧は上昇し,循環血液量が減少ないしは末梢血管抵抗が低下すれば血圧は降下します。これらの関係は図3に示しています。血圧は、心臓収縮時にかかる血圧(収縮期血圧)と心臓の弛緩時にかかる血圧(弛緩期血圧)によって表されます(単位はmmHg)(図3)。
図3 血圧と血液量、血管の太さの関係
2.全身血管の血圧、血液量
血圧は動脈の方が静脈より高く、動脈でも太い方が高いです。血液量は血管の種類や大きさによって異なります。図4にその概要を示しました。血圧は心臓から臓器を巡る臓器動脈まではほぼ左心室の収縮圧が保たれますが、細動脈から毛細血管へいくに従い徐々に下がります。静脈ではほぼ0になりますから逆流を防ぐため、太い静脈には弁構造が備わっています。血液量は動脈より、微小循環系および静脈にあります。
図4 全身の血管の血圧、血液量
3.血圧の調節
血圧の調整はどのようにして行われるのでしょう。図5に血圧を調整する因子を挙げておきました。血圧とこれら因子との関連は複雑ですが極めて精緻に行われます。
図5 血圧を調整する因子
① 神経による調整
血圧調整の中枢は延髄にあり、血管収縮中枢(昇圧)と血管拡張中枢(降圧)が別々に存在します。また、頚動脈には化学受容体、頚動脈洞には圧受容体があって、血液中のO2やCO2分圧およびpHを感知し、その情報を延髄の中枢に送り、血圧の調整を行います。
② ホルモンによる調整
副腎髄質から分泌されるノルアドレナリンは血管収縮機能を持ち、アドレナリンが心拍数の増加、心拍出量の増加に働きます。また、脳下垂体後葉から分泌される抗利尿ホルモン(ADH)、バゾプレッシンが尿の排泄を抑え、体液を増やすことにより血圧上昇に働きます。また、レニン・アンギオテンシン・アルドステロン系は血圧を上昇させます。一方、右心房への血液環流が増えると心房性ナトリウム利尿ペプチド(ANP)が働いて体液を減少させ血圧が降下します。
☆塩分を摂ると血圧が上昇する訳は?
血圧は循環血液量と血管外組織液のバランスによって変動します。例えば塩分を取り過ぎると血液中の塩分濃度(Na濃度)が上がり、浸透圧の原理でそれを薄めようと血管外の組織液が血管内に入り循環血液量が増加して血圧が上昇します。
☆血圧異常時における調整は?
何らかの原因で血圧が異常に上昇したり、下降したりすることがあります。そのような時にどのようなメカニズムが働くのでしょう?その概要を図6に示しました。血圧が降下すると循環血液量、心拍出量を上げるように心臓の収縮が増します。また、血圧低下により腎血液量が減り尿量が減少するので、循環血液量が増加し血圧が上昇します。同時にレニン・アンギオテンジン・アルドステロン系が働いて血圧を上昇させます。また、血圧が異常に上がると循環血液量は減少、頚動脈洞の圧受容体が作動による血管収縮低下およびANPの働きなどで血圧が低下します。このような巧みなメカニズムで非常時を乗り越えるのです。
図6 血圧異常時の血圧調整の仕組み
4.高血圧とは、その定義と原因
① 血圧の測定と変動
血圧は前述したように収縮期血圧と拡張期血圧を測定して評価します。
血圧を測る時に注意すべき点は、空気を容れるマンシェットを正しく巻くこと。自分自身で測かる時には特に気をつけましょう(図7)。また、血圧は図で示すように日常的生活、季節などで変動します(図8)。とりわけ、ストレスで大きく変動します。医師や看護師の白衣を見ただけで血圧が上がることもあります。従って、朝の安静時以外に数回測ることが重要です。
図7 血圧は収縮期血圧、拡張期血圧を測定する
図8 血圧の変動 日内変動、季節による変動、日常生活による変動
② 高血圧の定義
高血圧の基準は国際的にも収縮期血圧140mmHg以上、拡張期血圧90mmHg 以上と決められています。さらに、図のように高血圧ガイドライン2014(←https://www.jpnsh.jp/data/jsh2014/jsh2014v1_1.pdfへリンク、日本高血圧学会)によって高血圧の段階が決められています(図7)。
図9 高血圧の定義と分類
収縮期(最高)血圧 140mmHg以上、拡張期(最低)血圧 90mmHg以上が治療
の対象になる高血圧です。但し、腎臓病やメタボリックシンドロームの人はそれ
以下でも治療の対象になります。
5.高血圧の原因および分類
高血圧には原因別に本態性高血圧と二次性高血圧の2種類あります(図10)。その内、80%以上が原因のはっきりしない本態性高血圧です。
図10 高血圧の分類
本態性高血圧は生活習慣に伴う肥満、運動不足、喫煙習慣および遺伝体質などが危険因子とされています。因みに危険因子とは、病気の直接的な原因ではないが、病気の発生・進行の原因になる要素(科学的根拠のある)のことを指します。特に生活習慣病では病因が単一ではなく、幾つかの要素で病変が成り立ちます。
図11に本態性高血圧の危険因子をまとめておきました。
図11
喫煙、肥満、糖尿病、食事習慣など生活習慣が契機となります。女性では60歳以上で高血圧が増えますが、これは閉経により女性ホルモンが激減することによるものと考えられています。
一方、二次性高血圧は原病があって、二次的に高血圧を発症するものです(図12)。
図12 二次性高血圧の原因疾患
腎性高血圧が最も多く、その他はホルモン異常が原因となります。
6.高血圧に引き続いておきる病変(続発病変)
高血圧が慢性化すると様々な全身的な病気が二次的に生じます(図13)
図13
(1)動脈硬化症
一番多いのは動脈硬化症です。高血圧になると血管壁に異常な圧がかかり、大動脈など比較的太い動脈に脂肪が溜まりやすくなります(病気の形、脂質代謝異常動脈硬化にリンク)(図14)。アテローム硬化症が強くなると膠原線維が増え、動脈壁が圧に堪えられなくなり動脈瘤になります。高血圧は動脈硬化症の成因に強く関連しています。
図14 高血圧と動脈硬化は強く関連する
(2)心筋梗塞、脳梗塞、脳出血
図15は動脈硬化によって壁が厚くなって冠動脈です。動脈硬化が進行すると動脈内腔が狭くなって血液が通りにくくなりその支配領域が壊死(えし)を起こします。
図15 冠動脈硬化 壁が厚くなり、内腔が狭くなっている
心臓を栄養する冠動脈が詰まると心筋が広範囲に壊死が生じ心筋梗塞になります(図16)。
図16 心筋梗塞 壊死を起こし、心筋が黄色く見える。心臓を輪切りにした図
脳動脈が詰まると脳組織が壊死し、脳梗塞(図17)になります。
図17 脳梗塞 壊死を起こした大脳が融けたように見えるので脳軟化ともいう
また、動脈硬化によって弱くなった脳動脈が破れて脳出血を起こします(図18)
図18 大脳出血
(3)心肥大→心不全
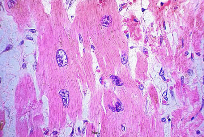
高血圧によって心臓に慢性的に負荷がかかると、左心室が厚くなり、心肥大を起こします(図19)。図19は高血圧患者さんの心臓を輪切りにしたマクロ写真です。このような高血圧症の左心室肥大のことを求心性肥大ともいいます。
図19 高血圧症による左心室肥大、心臓の輪切り標本
右室に比べ左室壁が厚くなっている
図20 図19の心筋細胞のミクロ
心筋線維が太くなり、核も大きくなっています。
図21 心筋細胞の肥大(右)(正常心筋・左との比較)
高血圧がさらに進むと肥大は右心室にもおよび、心室の拡張を伴うようになります。図22は心肥大から拡張に進行した心臓のマクロとミクロです。このように心肥大が拡張を伴うようになると心筋の間に膠原線維(青く染まっている)も増えて、心臓の機能が低下し心不全の状態になります。
図22 拡張性肥大を示した心臓のマクロとミクロ
このように、高血圧のコントロールができないと全身の動脈に病変が波及するとともに心臓の機能も低下し、生命維持に必要な臓器に致命的なダメージが生じます。


